Tekoälyalgoritmi tunnistaa kuvista aivoverenvuodon

Tekoälyä opetettiin HUSissa hoidossa olleiden potilaiden pään tietokonetomografiakuvien aineistoon pohjautuen.
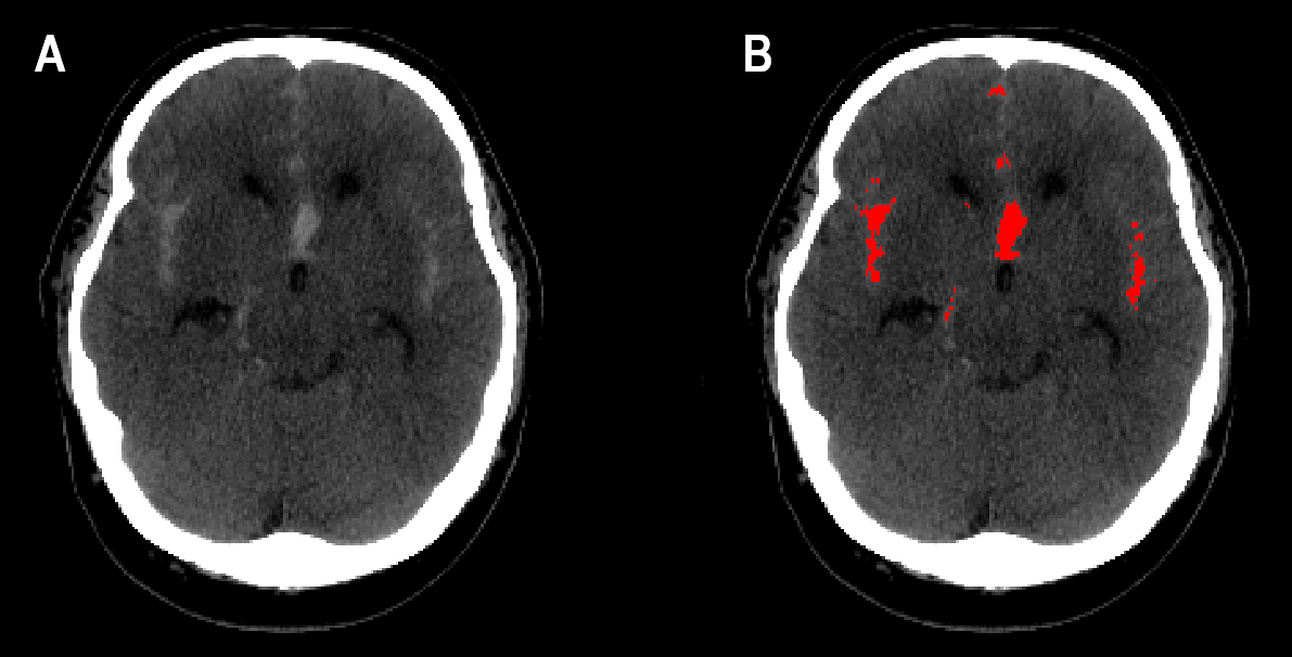
Kuvassa A näkyy pään TT-kuvassa laaja-alainen SAV. Kuvassa B on punaisella merkitty alueet, joissa algoritmi on havainnut verta. (Kuva: HUS)
Kuvassa A näkyy pään TT-kuvassa laaja-alainen SAV. Kuvassa B on punaisella merkitty alueet, joissa algoritmi on havainnut verta. (Kuva: HUS)

HUS Helsingin yliopistollisen sairaalan neurokirurgian tutkijat ovat olleet mukana kehittämässä tekoälyyn pohjautuvaa algoritmia, joka tunnistaa tehokkaasti tietokonetomografiakuvista lukinkalvonalaisen aivoverenvuodon (SAV).

Arvostetussa Neurology-lehdessä julkaistussa tutkimuksessa tarkasteltiin tekoälyyn perustuvan algoritmin toimivuutta aivoverenvuotopotilaiden diagnostiikassa. Tekoälyä opetettiin HUSissa hoidossa olleiden potilaiden pään TT-kuvien aineistoon pohjautuen. Tekoälytyökalun toimivuutta tarkasteltiin myös laajemmassa kansainvälisessä aineistossa.

Mainos - sisältö jatkuu alla

Kovan päänsäryn takia päivystykseen tulleille potilaille tehdään tietokonetomografiakuvaus (TT) kriittisten elintoimintojen häiriöiden, kuten aivoverenvuodon poissulkemiseksi.

Aivoverenvuodon syyn tunnistaminen on potilaan hoidon kannalta tärkeää. Lukinkalvonalaisen aivoverenvuodon saaneista potilaista jopa 75 prosenttia kuolee vuoden kuluessa uusintavuotoon, jos aivoverenvuotoa ei tunnisteta oikea-aikaisesti.

– Pään tietokonetomografiakuvaukset ovat sairaaloissa yleisimpiä päivystysajan kuvantamistutkimuksia ja SAV on yleisin aivoverenkiertohäiriöihin liittyvä työikäisten äkkikuoleman syy, Neurokeskuksen neurokirurgian osastonylilääkäri, dosentti Miikka Korja kertoo tiedotteessa.

– Tekoälyalgoritmi pystyi tunnistamaan tarkasti lukinkalvonalaisen aivoverenvuodon. Tekoäly voisi toimia radiologien apuna kuvien tulkinnassa, erottelemalla ne tietokonetomografiakuvat, jotka vaativat kiireellisintä huomiota, hän jatkaa.

Poimintoja videosisällöistämme

Diagnoosin tekee edelleen radiologi ja hoitopäätökset hoitava lääkäri.

Tekoälytyökalu tunnisti 1 300 TT-kuvauksen aineistosta oikein 136 SAV-tapausta 137:stä. Aineisto koostui yhteensä 49 000 leikekuvasta, joista tekoäly tunnisti SAV-vuodon 1 845 leikekuvassa 2 110 leikkeen joukosta.

Algoritmi avattu tutkimusyhteisön käyttöön

Osana tutkimusartikkelia on perustettu internetsivusto, jossa kuka tahansa voi testata algoritmin toimintaa lataamalla sivustolle pään TT-kuvan.

– Tekoälyalgoritmin avaaminen läpinäkyvästi tutkimusyhteisön käyttöön on merkittävä uudistus lääketieteellisen kuvantamisen alalla ja pidämme tällaista toimintatapaa keskeisenä, kun jatkossa kehitetään kliiniseen työhön tarkoitettuja tekoälyyn perustuvia malleja, toinen tutkimuksen päätutkijoista, lääkäri Heikki Peura HUSista kertoo.

Lukinkalvonalaisen aivoverenvuodon tunnistava tekoälyalgoritmi on jaettu avoimesti jatkokehitykseen. Tutkimusryhmä on jatkanut HUSin koordinoimassa CleverHealth Network -yritysyhteistyöekosysteemissa aivoverenvuotojen algoritmien kehittämistä, ja ensimmäinen kliiniseen käyttöön suunniteltu algoritmipaketti tunnistaa lukinkalvonalaisen aivoverenvuodon lisäksi muut spontaanit aivoverenvuodot.

HUS toivoo saavansa uuden algoritmipaketin kliiniseen testaukseen 2023 aikana, ja jatkossa olisi toiveena saada algoritmille viranomaishyväksyntä käyttöön myös potilastyössä.

Sanna Ukkolan haastattelussa psykologi Liisa Keltikangas-Järvinen.
Orion-kapseli palaa ilmakehään jopa 2 760 asteen kuumuudessa.
Mainos